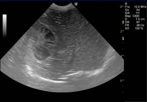
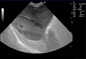
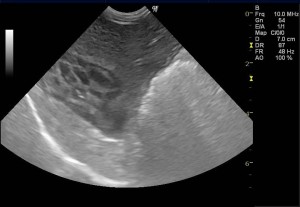
症例は11歳の去勢済トイプードルです。
以前より胆嚢内の粘液腫様変性が認められていたため注意して経過観察を実施していた症例です。超音波では、胆嚢の拡張は認められないものの、内部の変性(キウイフルーツ様パターン)は顕著に認められました。
診断:胆嚢粘液嚢腫
この疾患は、胆嚢運動機能の低下や粘液産生過多により発症したり、クッシング症候群や甲状腺機能低下症などの内分泌性疾患が関与して二次的に発症したりすると言われています。中高齢の犬に多く、シェルティやアメリカンコッカ-スパニエル、ミニチュアダックスフンドなどが後発犬種として挙げられます。重症化すると、胆嚢破裂を引き起こし胆汁性腹膜炎で致死的な状態に陥ることもあります。

本症例は数か月ごとに超音波検査にて胆嚢を観察し、拡張や内部の変性異常が強く認められた時点で手術を行っていきました。破裂する前、肝障害や黄疸が起きる前の対応です。
肝臓の間にはまっている胆嚢を丁寧に剥離し、2重結紮し切離しました。

摘出した胆嚢組織は内部がゼリー状に変性を起こしており、胆汁が正常に消化管へ流れていないことが予想されました。

病理組織検査:胆嚢粘液嚢腫、肝細胞変性
肝障害を起こす前、破裂する前に対処出来たことで本症例は問題なく回復してくれました。
愛犬・愛猫ちゃんに変わったことがあれば何でもお気軽にご相談ください。よろしくお願いいたします。