症例は1歳のブリティッシュショートヘアです。2時間前にヘアゴム1本を飲み込んだかもとのことで来院されました。今のところ明らかな症状はなく少し大人しいかなくらいでした。
猫ちゃんの場合、吐かせる処置の成功率が低いため吐かなければそのまま全身麻酔下にて内視鏡検査を行う予定としました。
診断:胃内異物疑い
メデトミジンによる催吐処置では吐かず、そのまま内視鏡を実施しました。

まず、食道内に1本太めのヘアゴムらしきものを認めたため、W字鉗子にて摘出しました。

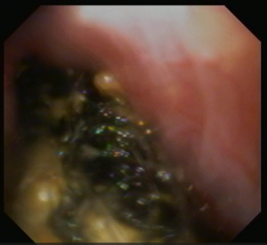
その後、胃の中まで内視鏡を進め胃内を確認したところ、幽門部にひも状の異物の塊がはまっているのを発見しました。

同じようにW字鉗子にて把持し引っ張ってこようとしましたが強固にはまっており摘出するのに少し時間を要しました。

摘出後は胃内に何も残っていいないことを確認し終了としました。

元々こちらの猫ちゃんはヘアゴムなどのひも類で遊ぶのが習慣になっていたようで、飼い主様の知らないところでも飲み込んでいたということになります。今回運よく胃にある状態で発見され、内視鏡で摘出できたことはとても良かったと思います。腸まで流れていたら閉塞して開腹手術が必要になることもあります。
ひも好きな猫ちゃんは要注意ですね!!
愛犬・愛猫ちゃんに気になることがあれば何でもお気軽にご相談ください。よろしくお願いいたします。